У жительницы Чебоксар из слюнной железы удалили камень размером с вишню
У жительницы Чебоксар из слюнной железы удалили камень размером с вишнюВесь летний период в Чувашской Республике действовал социальный проект «Шаг к здоровью», инициированный Главой региона Олегом Николаевым.
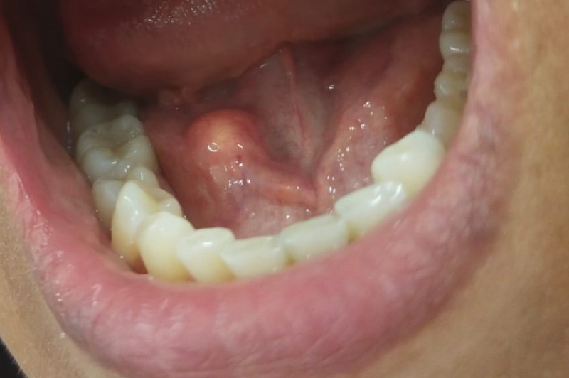
На одной из площадок на консультацию к специалистам Республиканской стоматологической поликлиники обратилась жительница Чебоксар 48 лет. Женщину беспокоили ноющая боль и припухлость в области под нижней челюстью справа, которые появлялись во время еды и проходили самостоятельно через несколько минут.
Оксана НОВОШИНОВА, заведующий отделением терапевтической стоматологии с кабинетами пародонтологии, эндодонтии и лечения заболеваний слизистой оболочки рта:
– При осмотре выявлено увеличение поднижнечелюстной слюнной железы справа, в области выводного протока наблюдалось уплотнение. В срочном порядке пациент была направлена к врачу стоматологу-хирургу.
Ранил КАМАЛЬДИНОВ:
– При пальпации выявлен слюнный камень. Поставлен диагноз: обструкция (закупорка) протока поднижнечелюстной слюнной железы слюнным камнем.
Конкремент был удален в день обращения, функция железы восстановлена, пациентка вернулась к нормальной жизни.
Справочно:
Борьба с онкологическими заболеваниями – одно из ключевых направлений национального проекта «Продолжительная и активная жизнь». За время действия проекта врачи Республиканской стоматологии осмотрели более 1900 человек, выявлено 43 подозрения на онкозаболевания.
Подписаться на новости в ВК Подписаться на новости в Телеграм
Статьи по теме
Республиканская стоматологическая поликлиника Здравоохранение

